
Before & Afters
Smiles That Speak For Themselves
At Hidden Smiles Orthodontic Studio, nothing delights us more than witnessing the transformative power of our patients’ smiles! We take immense pride in showcasing the stunning transformation photos that exemplify our exceptional results across a range of cases. Scroll down to witness the magic for yourself—our results truly speak volumes!
Before & After Smile Transformations In Melville, NY
Treated By Dr. Parikh

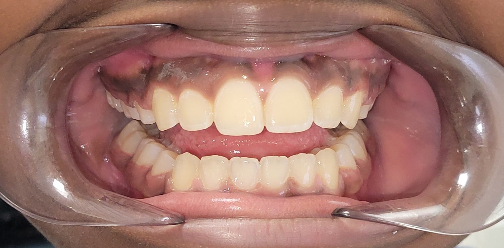
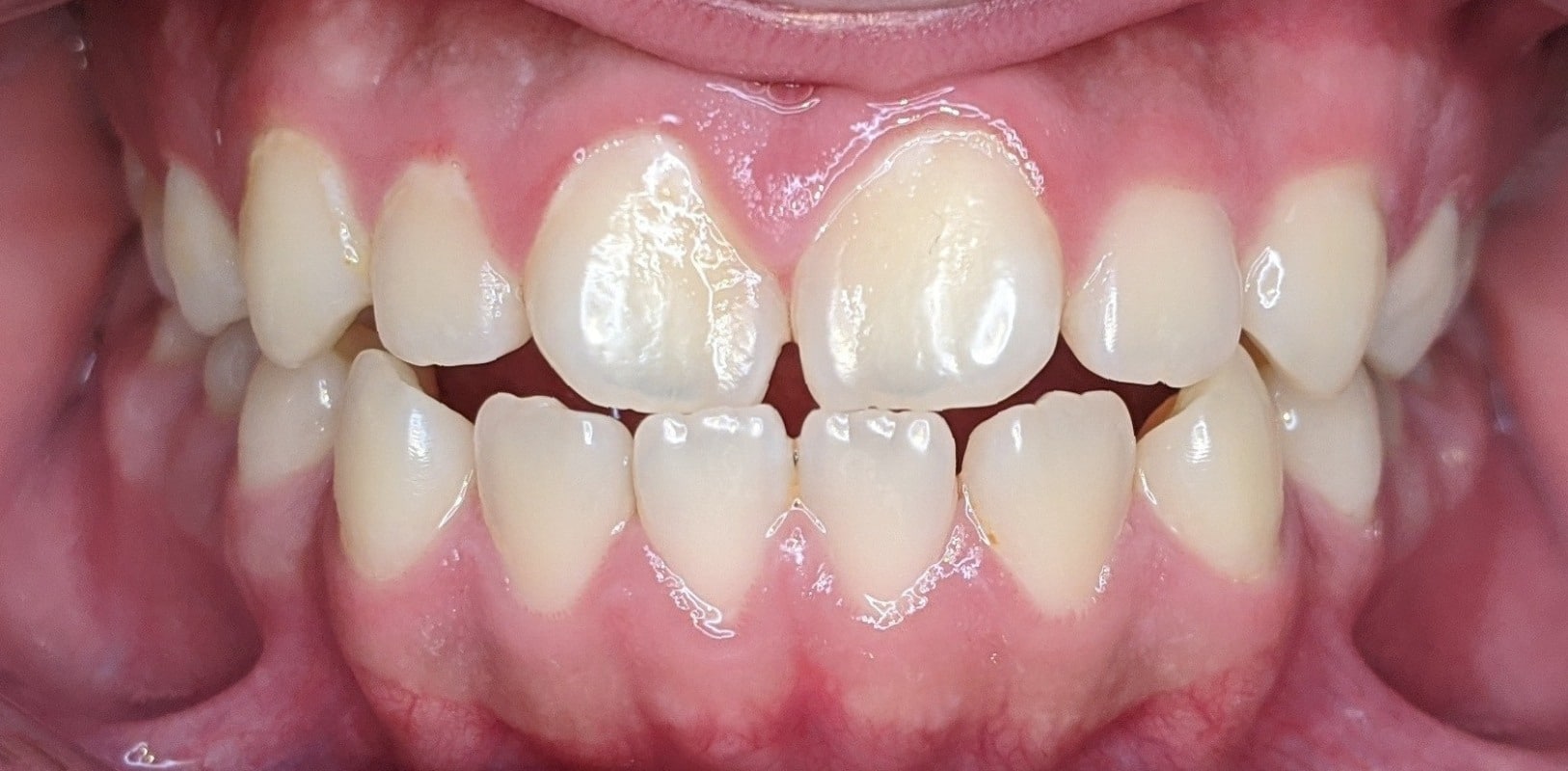
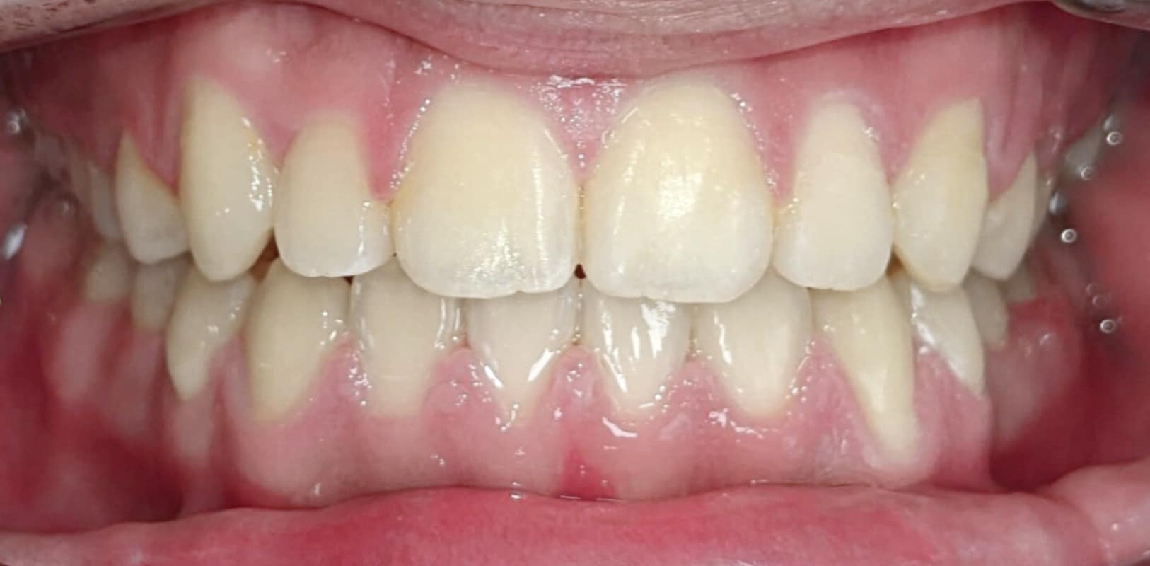
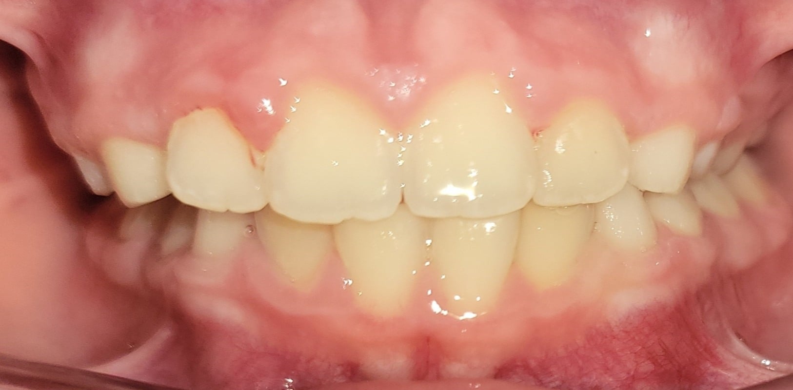
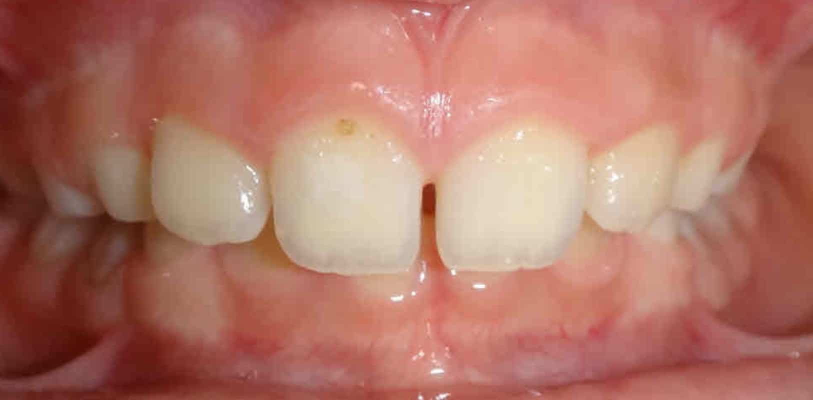
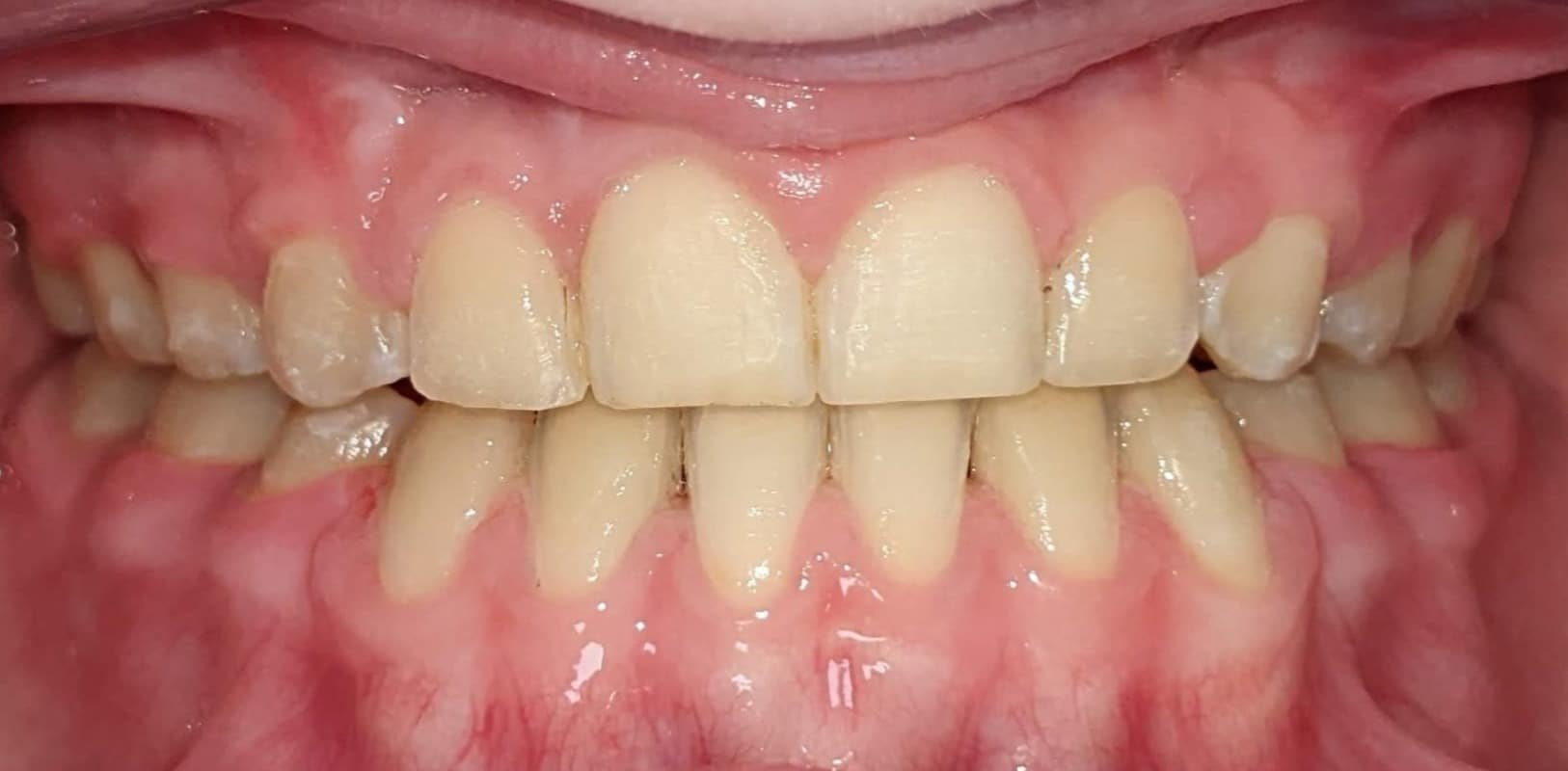
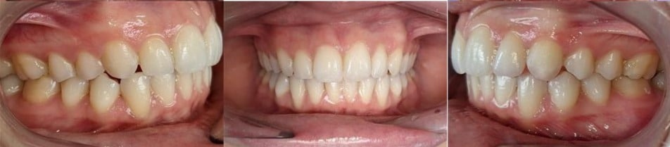
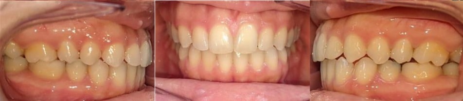
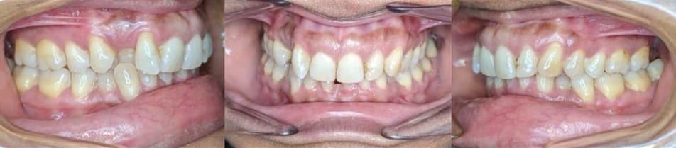
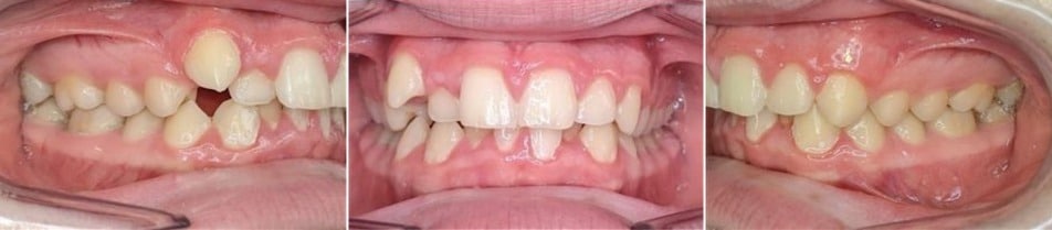
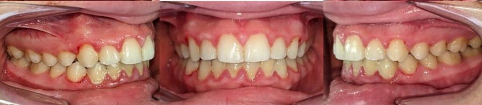
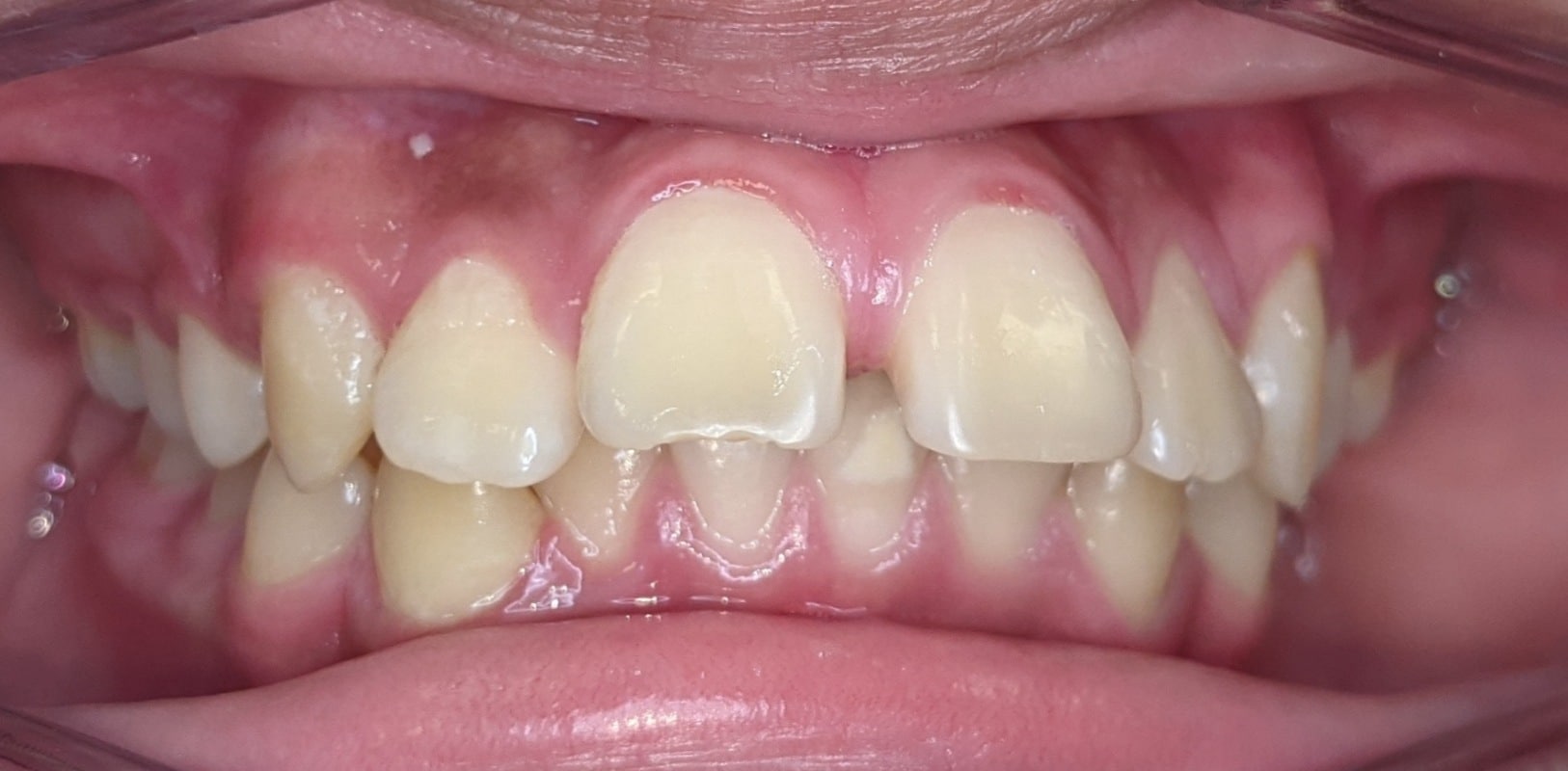
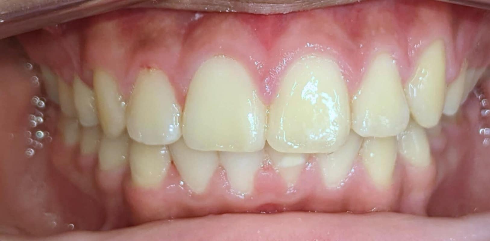
Patient 1

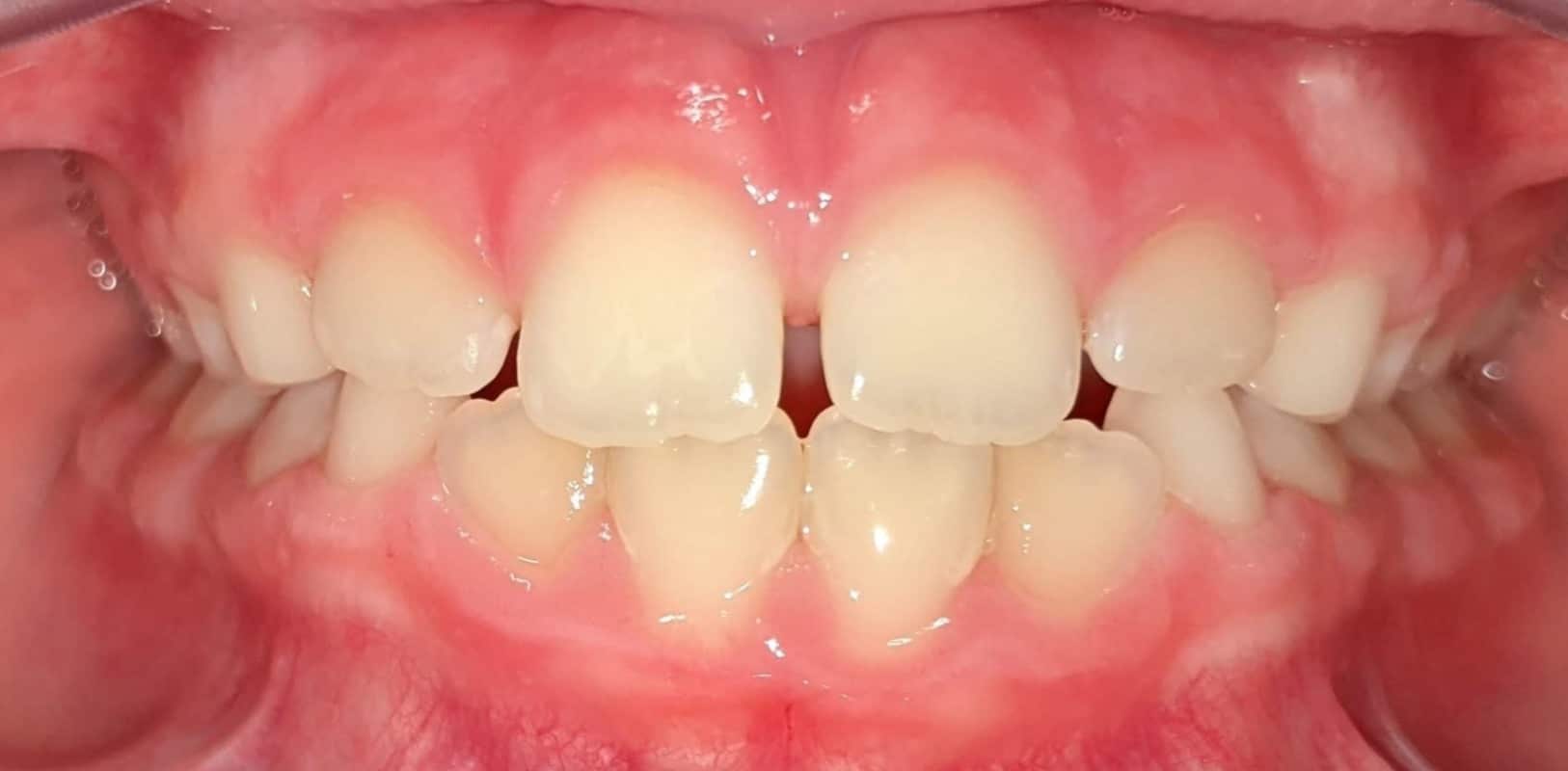
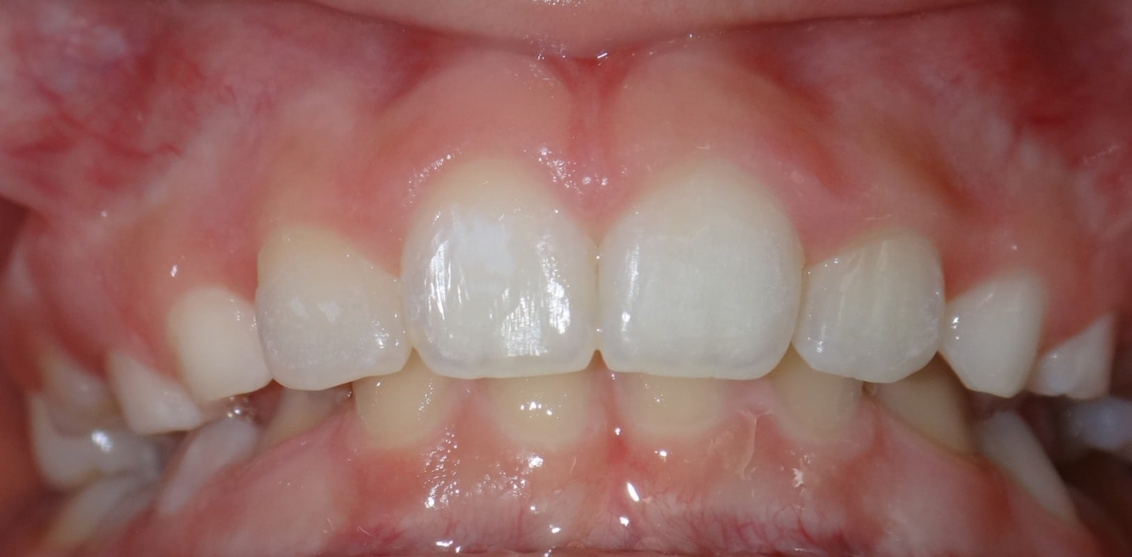
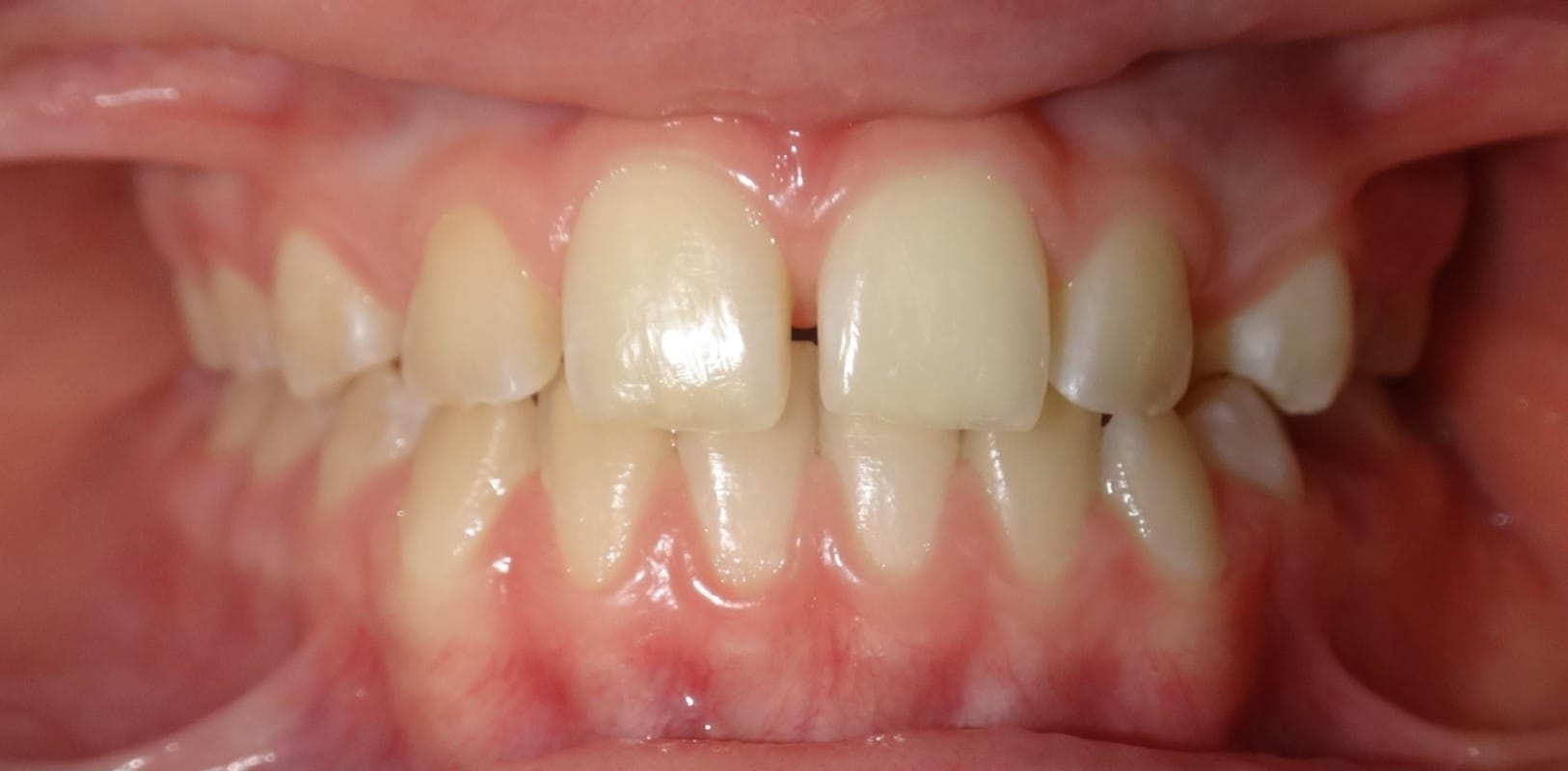
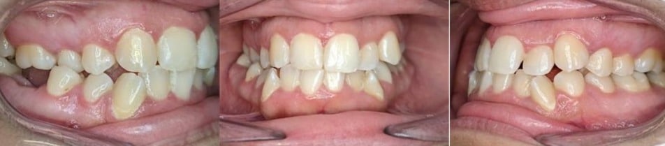
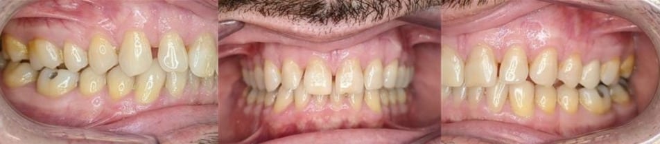
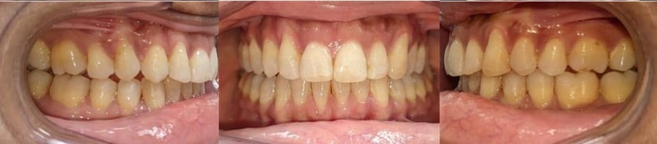
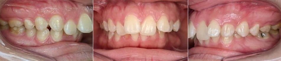
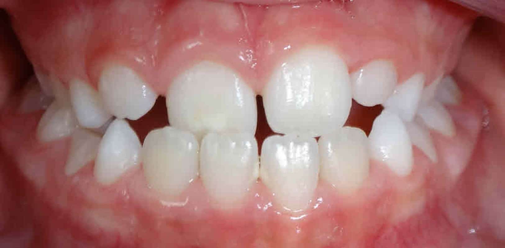
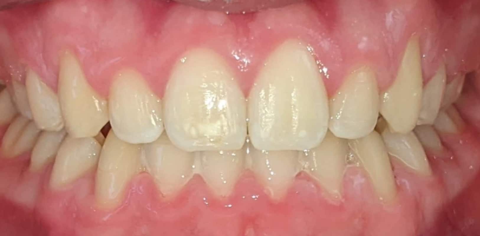
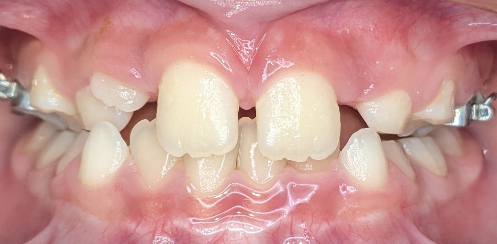
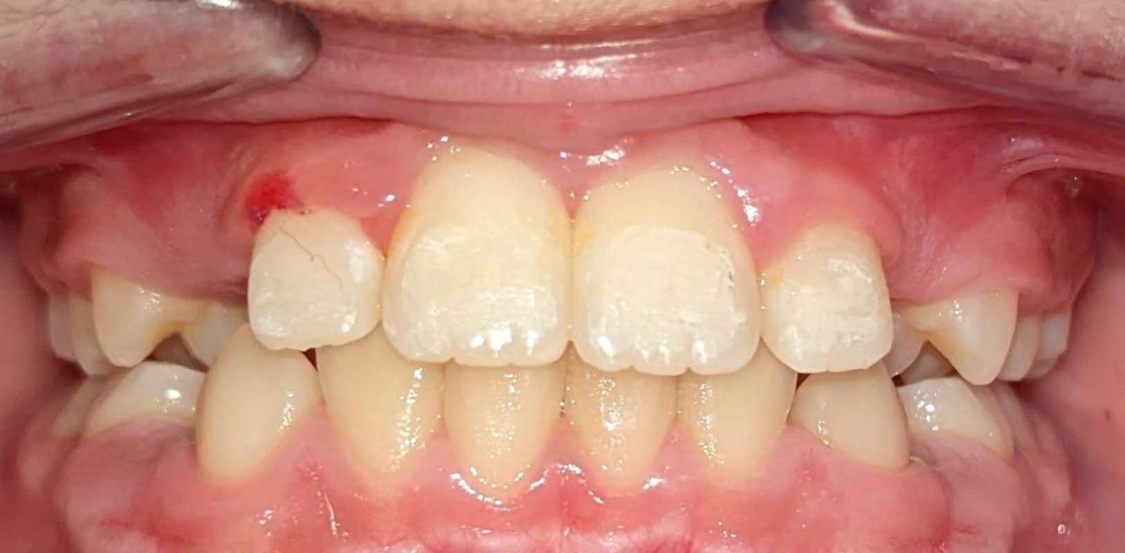
Patient 2

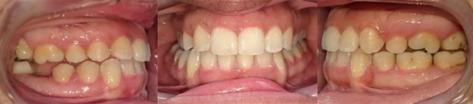
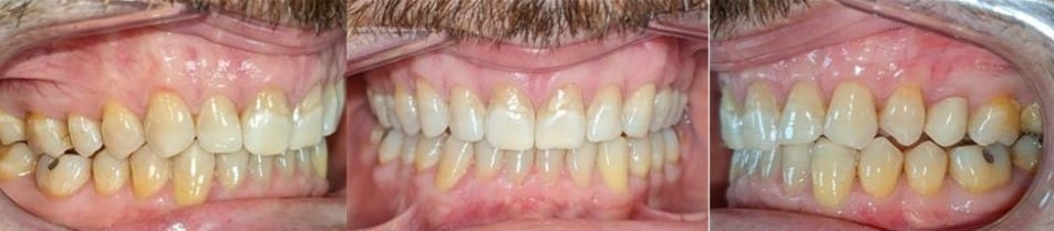
Patient 3

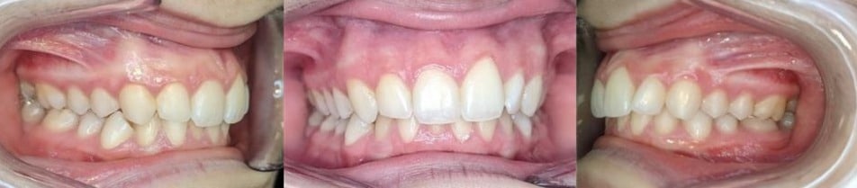
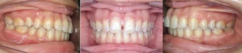
Patient 4

Patient 5

Patient 6


Patient 7


Patient 8


Patient 9


Patient 10
Hidden Braces Patients



























