
Invisalign® In Melville, NY
Tailored Treatment for Your Lifestyle
Experience the convenience of Invisalign® for achieving the beautifully straight smile you’ve always desired—without the need for braces. This system uses customized, clear trays that are removable to move your teeth gradually over time! The aligners are made of a proprietary material that is clear, blending in with your natural teeth–allowing you to get the results you want undercover! Plus, its sleek design increases comfort for our patients since there are no brackets or wires. The ability to take the trays out when you need to in order to play sports, or indulge in your favorite foods is one of the reasons they remain popular among our teens and kids patients. Whether you are a child, teen or adult–Invisalign® is a great option for everyone looking for a straighter smile!
The Invisalign® Process
Crafted from clear acrylic, Invisalign® aligners snugly fit over your teeth and are designed to gradually straighten your smile. Removable and discreet, they make eating, drinking, brushing, and flossing hassle-free. Compared to traditional metal braces, Invisalign® offers enhanced comfort while delivering stunning results.
We start by capturing photos and X-rays to generate a 3D image of your mouth. Your first set of custom-fitted aligners is then crafted from these images, marking the beginning of your teeth-straightening journey. Typically worn for 9–15 months, you’ll progress through around 18-30 sets of aligners during treatment. With a recommended wear time of 22 hours per day, you can easily remove them for oral hygiene and meals.
Treatment Tailored for You
Invisalign® adopts a contemporary approach to teeth straightening, offering a series of custom-made aligners exclusively tailored to your dental structure. Crafted from smooth, comfortable, and virtually invisible plastic, these aligners gently guide your teeth into alignment based on your orthodontist’s precise plan.
With no metal brackets or wires to contend with, you simply switch to a new set of aligners every two weeks, or as recommended by Dr. Parikh until treatment completion!
A Seamless Fit into Your Life
Invisalign® seamlessly integrates into your daily routine, allowing you to achieve a great smile without disruption. Its nearly invisible design ensures most people won’t even notice you’re undergoing orthodontic treatment.
Our experienced team, led by Dr. Parikh, is thrilled to offer Invisalign® technology to our patients in Melville, NY, delivering exceptional results with minimal interference.
Enhanced Comfort, Effortless Maintenance
Compared to traditional braces, Invisalign® clear aligners offer a smoother, metal-free experience to minimize mouth irritation. Their removable design allows you to enjoy a wider variety of foods without restriction, though cleaning your teeth before reinserting the aligners is necessary to prevent staining. Brushing and flossing is simplified with Invisalign®, as there are no brackets or wires to navigate around!
Patient Compliance
Consistent wear is crucial for optimal results. We recommend wearing your aligners for around 22 hours a day. However, part of the beauty of Invisalign® is that it allows for removal during special occasions. Like traditional braces, post-treatment retention may require the use of a retainer to maintain your newly aligned smile.
Discover Invisalign® In Long Island, NY
While Invisalign® may not be suitable for all patients, Dr. Parikh and our team will provide personalized guidance on the best treatment options for you. Schedule a complimentary consultation at our Melville office to explore if Invisalign® is the right choice for your smile journey.
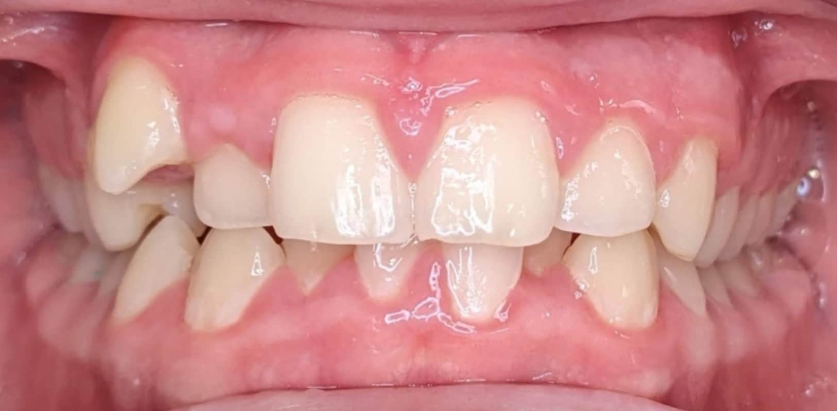
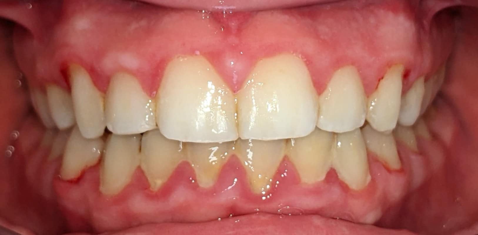
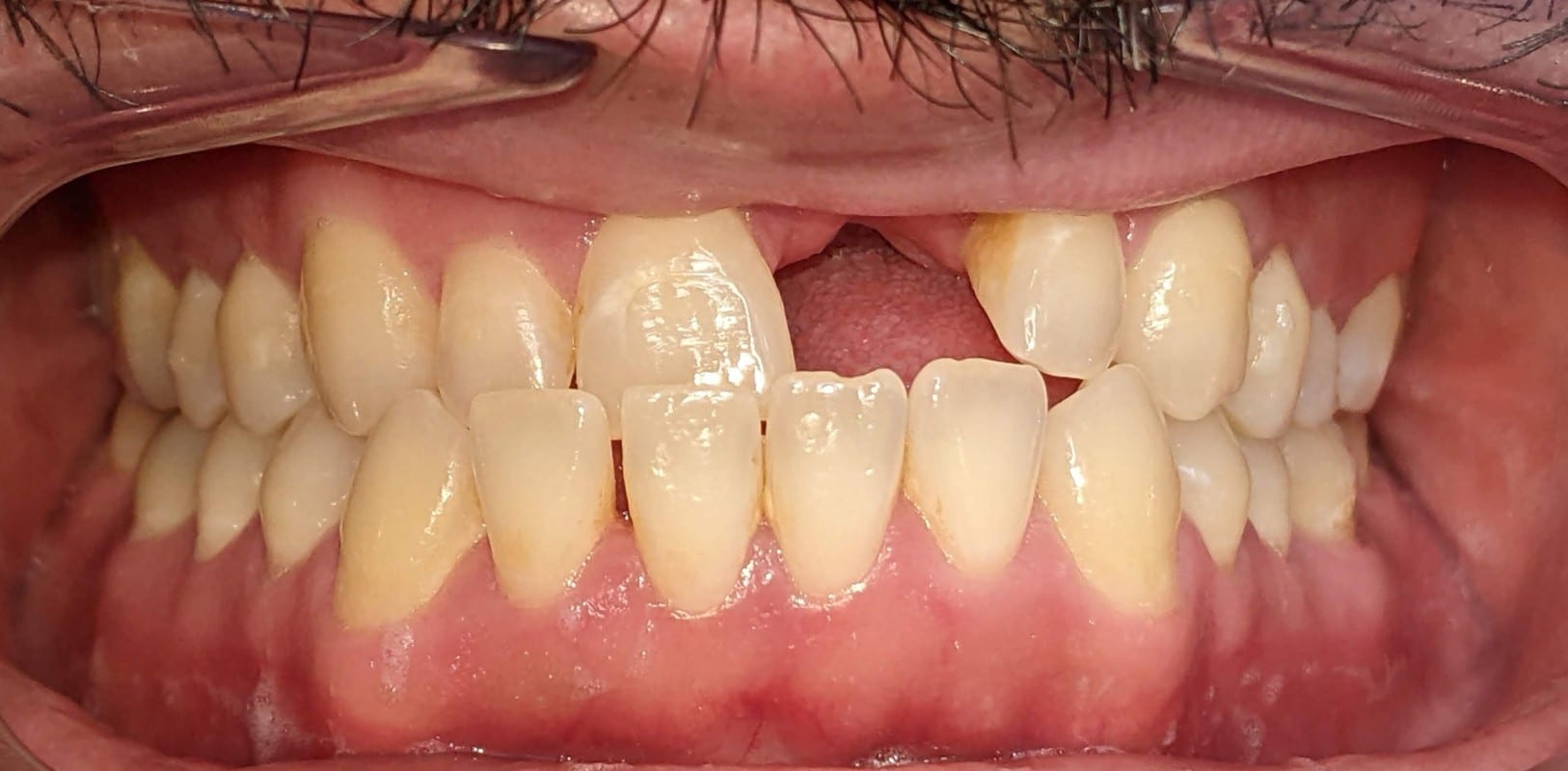
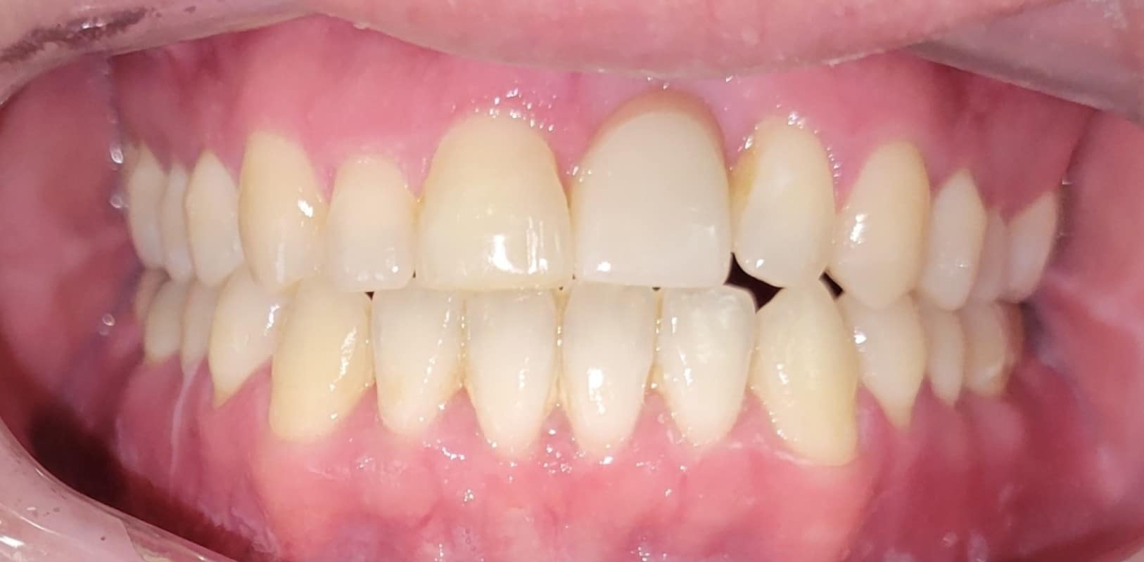
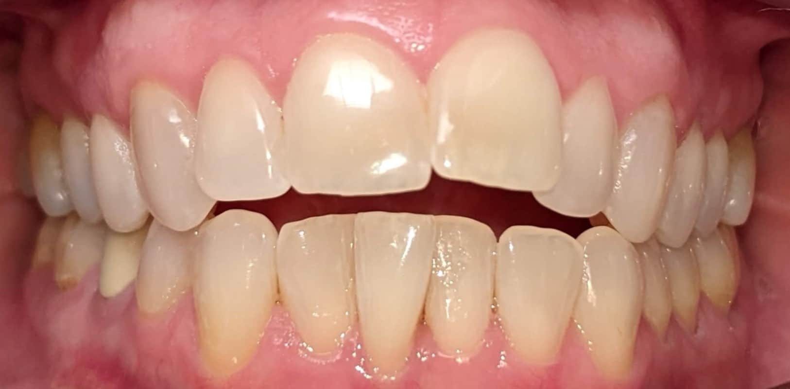
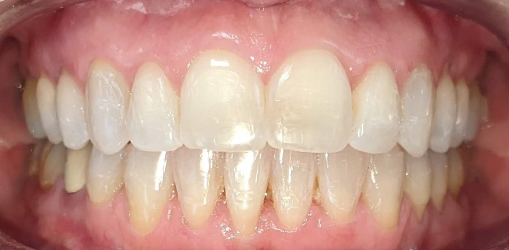
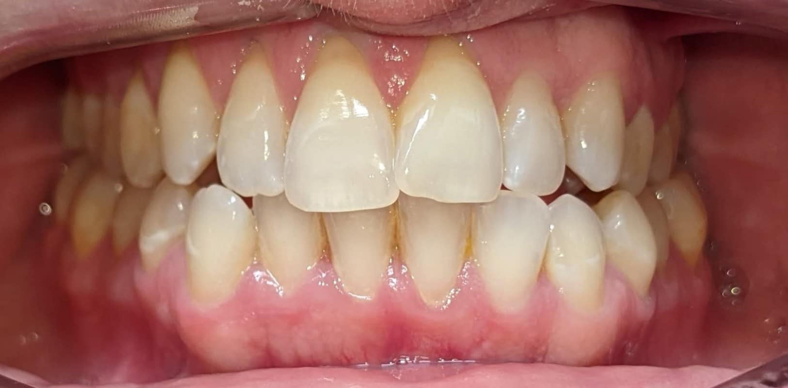
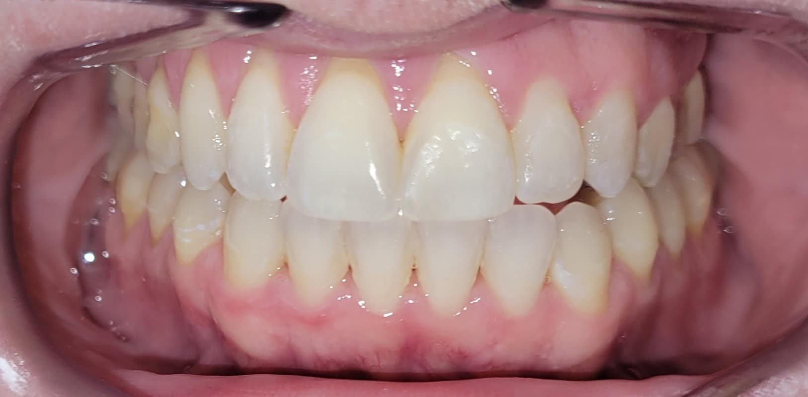
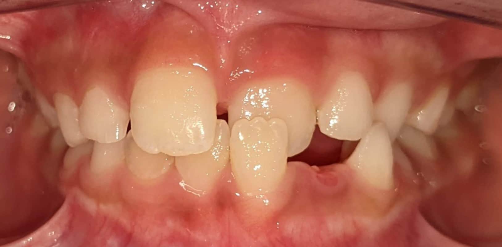
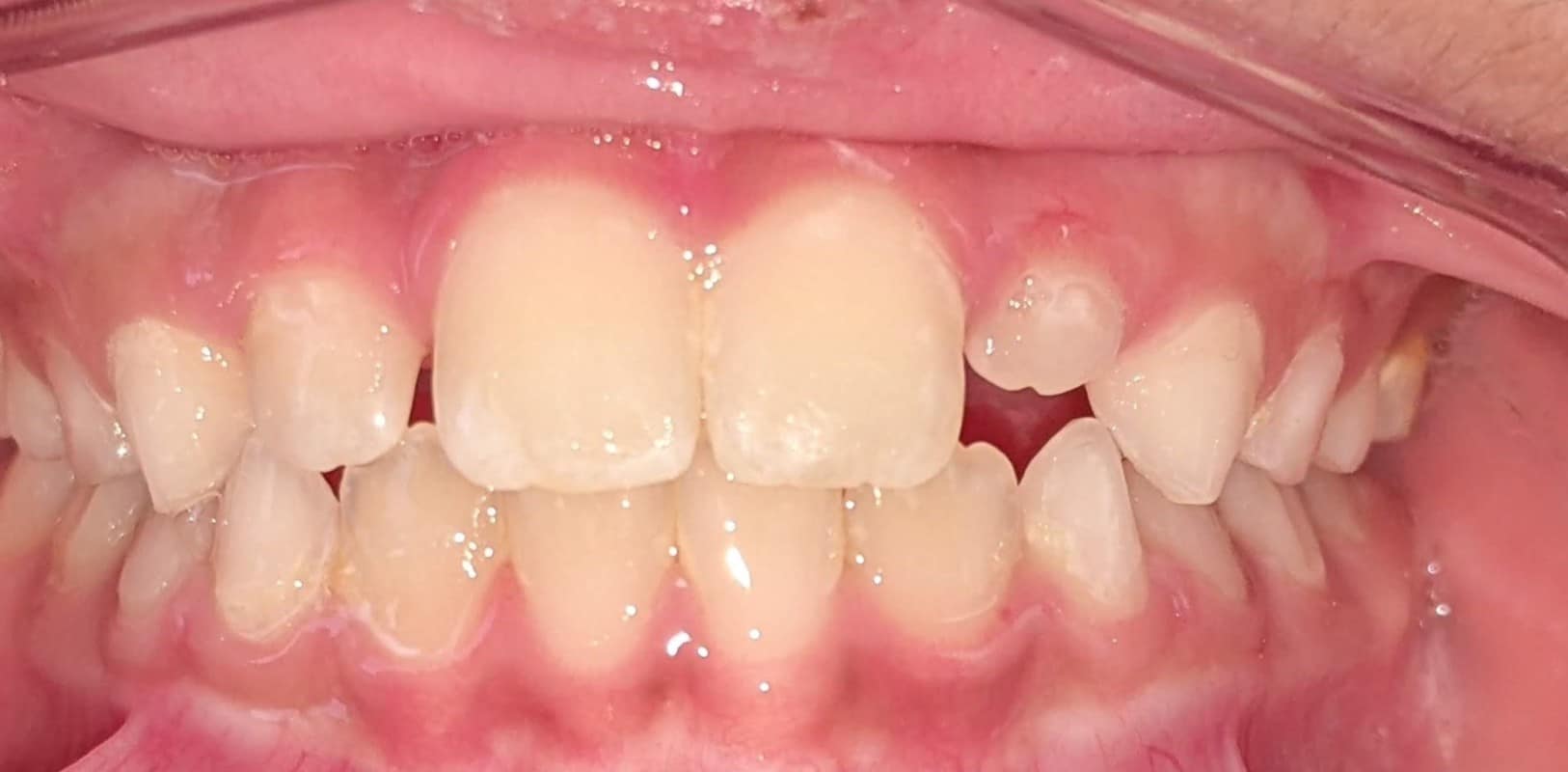
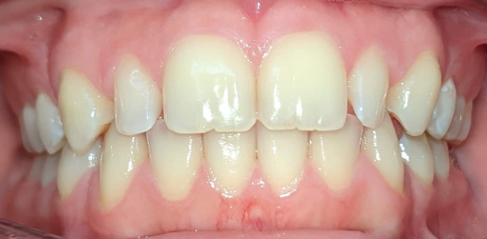
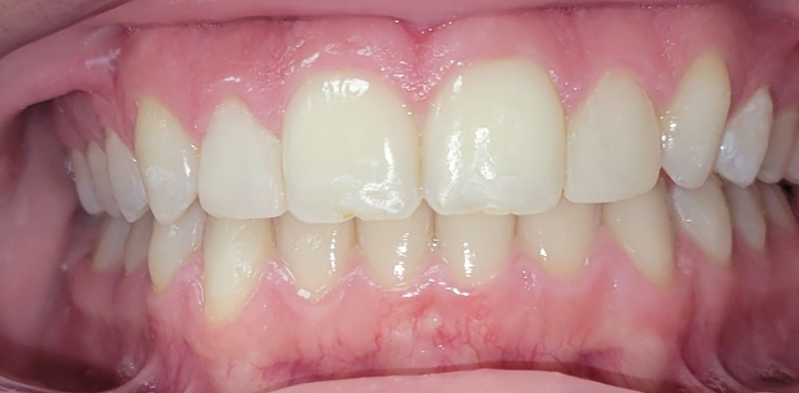
Invisalign® Smile Transformations















