
Metal Braces
Timeless, Effective Orthodontic Treatment in Melville, NY
Metal braces are a longstanding symbol of orthodontics and boast a rich history of effective treatment. They are a popular option for patients of all ages, and can be used to address a wide array of bite issues and orthodontic concerns.
What Your First Visit May Look Like
When you come to visit us at Hidden Smiles Orthodontic Studio, expect to be greeted by our warm, friendly team. From there, you will meet Dr. Parikh where she will answer any questions you may have and discuss your concerns. She will also do a full assessment and evaluation of your teeth, jaw and bite. At this appointment, Dr. Parikh may take x-rays to get the entire picture of your smile to determine the complexity of your case. From there, she will present you with treatment options and prescribe a customized plan that is tailored to you and your unique situation.
Components Of Your Metal Braces
Your modern, comfortable braces are more comfortably designed than ever before. They are created from the following parts:

Caring For Your Braces
It is crucial that you take proper care of your new metal braces to ensure your treatment plan goes exactly as Dr. Parikh prescribed. Here are some factors you will need to keep in mind while on the path towards perfecting your smile!
Metal Braces FAQs
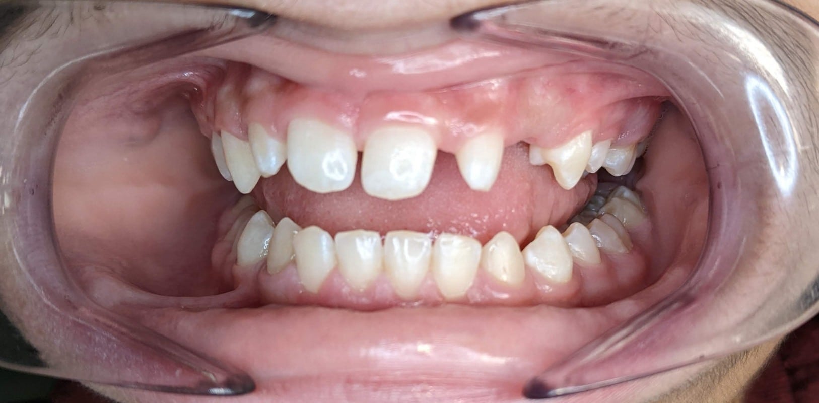
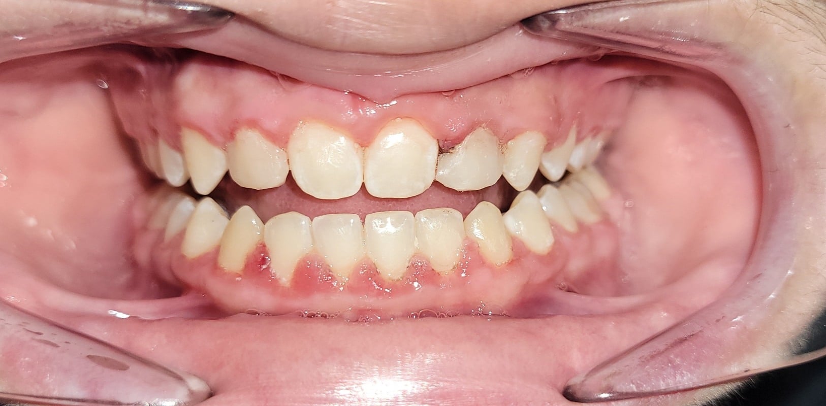
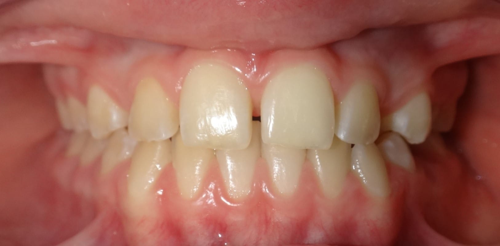
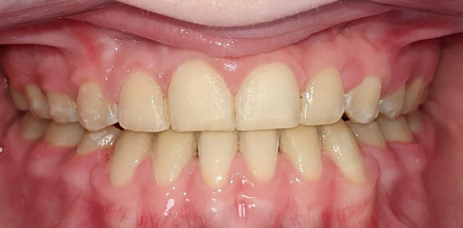
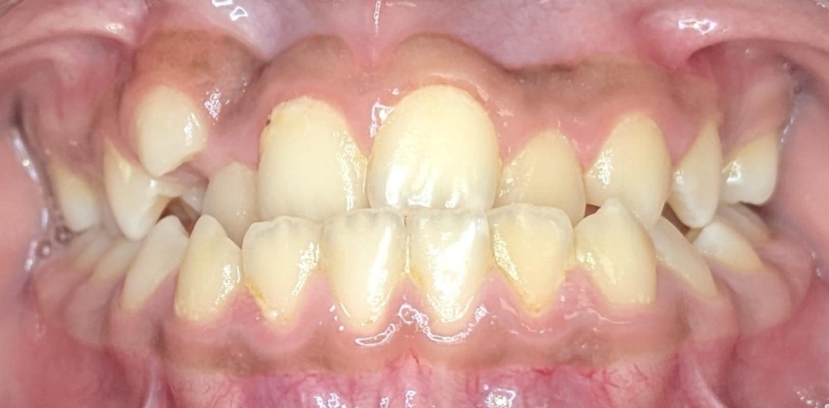
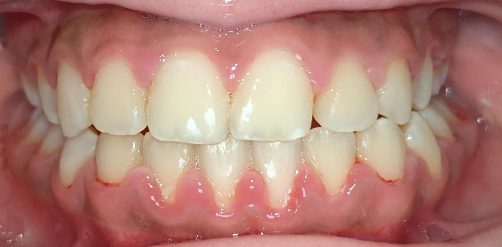
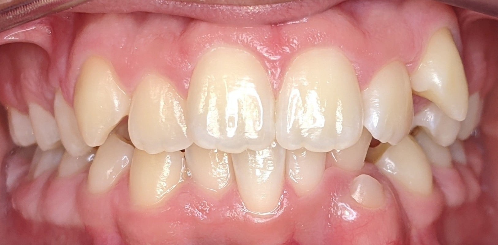
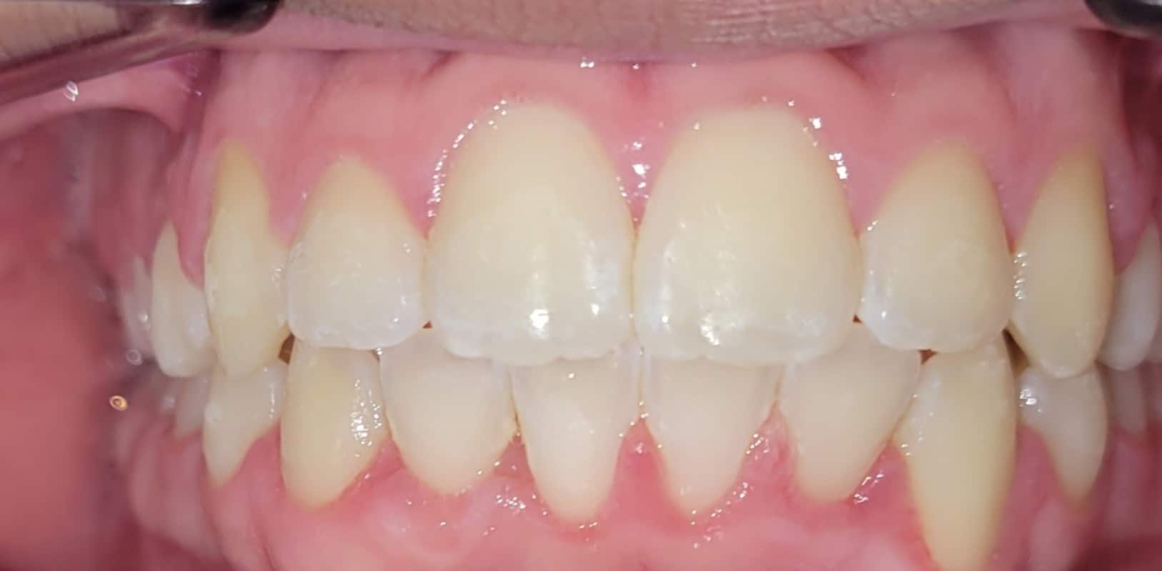
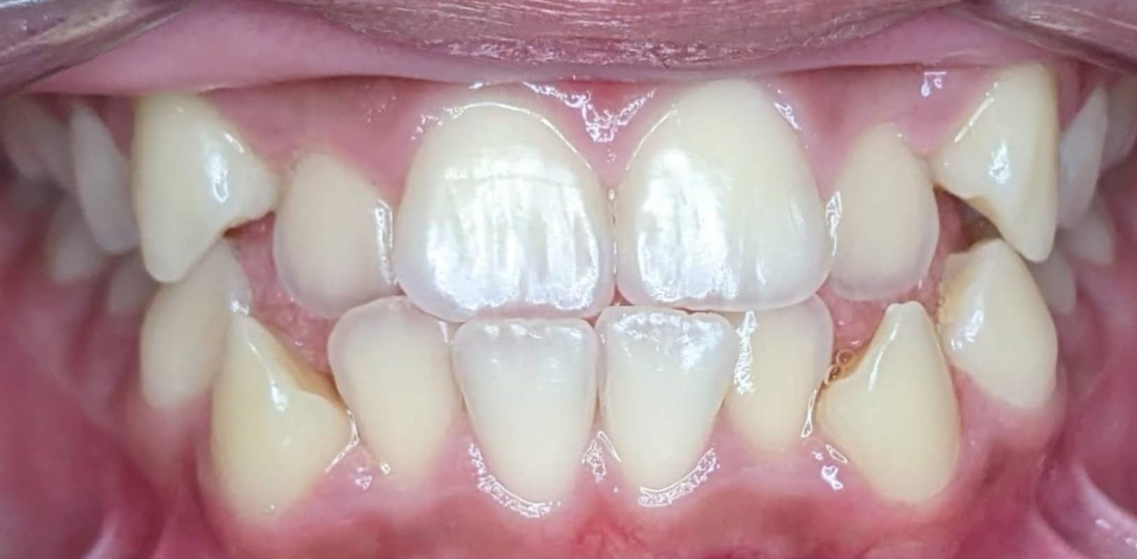
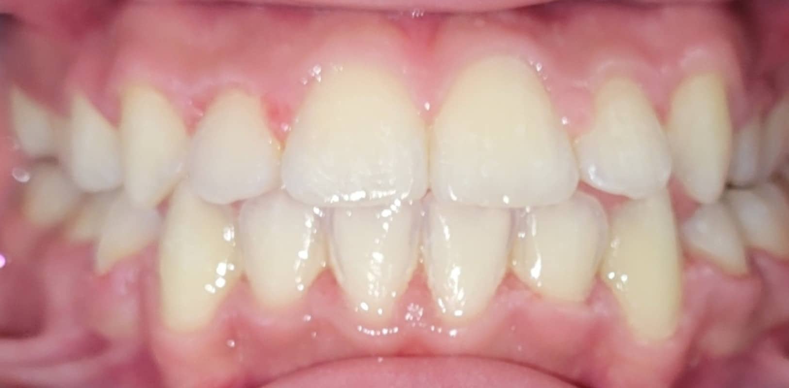
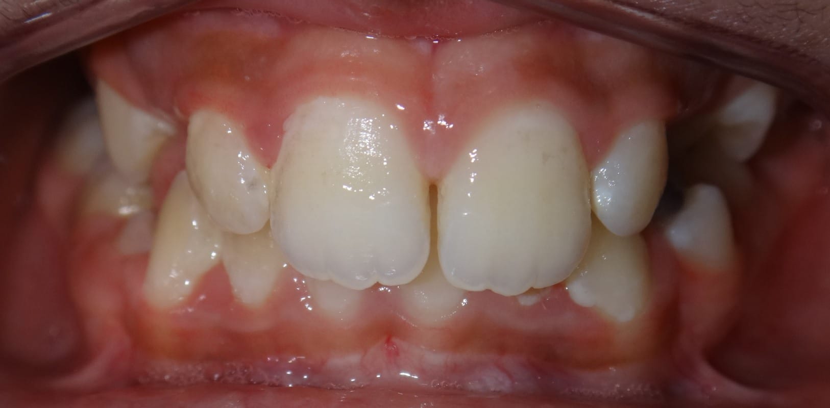
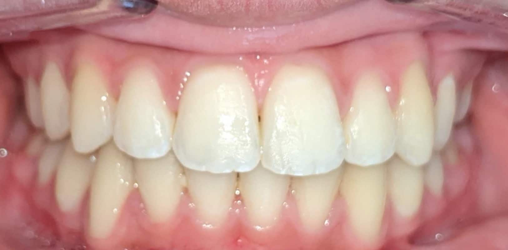
Metal Braces SMILE TRANSFORMATIONS













