
Retainers
Protecting Beautiful New Smile With Orthodontic Retainers
At Hidden Smiles Orthodontic Studio, we understand that achieving a beautiful new smile is hard work. Now that orthodontic treatment is complete and you or your child are enjoying all the benefits that come with a perfect smile, it’s important to help maintain those hard-earned results. After braces or aligners, teeth naturally need time to stabilize. Without orthodontic retainers, they can slowly shift back toward their original positions, a process called relapse.
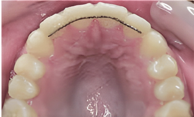
The best way to keep a smile as perfect as the day your braces came off is with a custom retainer. Retainers are to be worn at night time for a lifetime in order to keep your teeth as straight as the day you finish your orthodontic treatment. At Hidden Smiles Orthodontic Studio, we offer three types of orthodontic retainers: bonded retainers, Hawley retainers and Essix retainers. Each is designed to fit your or your child’s needs and lifestyle.
Retainers
Protecting Beautiful New Smile With Orthodontic Retainers
At Hidden Smiles Orthodontic Studio, we understand that achieving a beautiful new smile is hard work. Now that orthodontic treatment is complete and you or your child are enjoying all the benefits that come with a perfect smile, it’s important to help maintain those hard-earned results. After braces or aligners, teeth naturally need time to stabilize. Without orthodontic retainers, they can slowly shift back toward their original positions, a process called relapse.
The best way to keep a smile as perfect as the day your braces came off is with a custom retainer. At Hidden Smiles Orthodontic Studio, we offer three types of orthodontic retainers: bonded retainers, Hawley retainers and Essix retainers. Each is designed to fit your or your child’s needs and lifestyle.
Which Option Is Right For Your Or Your Child’s Smile?
Protecting new smiles is just as important as creating them. Whether you or your child needs a bonded, Hawley or Essix retainer, our team at Hidden Smiles Orthodontic Studio prioritize helping new smiles stay beautifully aligned for years to come with orthodontic retainers.
Schedule your or your child’s retainer appointment today and let’s keep that confident smile shining bright!




