
LightForce Clear Braces
Top-Tier Tech for Your Teeth
Hidden Smiles Orthodontic Studio believes in investing in our patients. That’s why we invest in state-of-the-art resources, like LightForce clear braces. This revolutionary orthodontic treatment makes working towards a straighter, healthier smile–a breeze! Using a modern day approach, LightForce clear braces are 100% customized to your unique smile needs, creating an efficient and seamless process from start to finish.
LightForce Clears Your Schedule, Too!
Dr. Parikh uses LightForce technology to create tailored clear braces, crafted from ceramic, built to identically match the particular shape of your teeth and position of your bite. LightForce clear braces fit your teeth so well, you’ll forget you’re wearing them. Dr. Parikh uses this innovative treatment to give you a safe, secure, and streamlined experience in our Melville office.
Getting customized treatment at Hidden Smiles Orthodontic Studio translates into less time in the office with fewer appointments. As much as we like seeing you, this means you get to spend more time with family!
Clear Braces: Tomorrow’s Teeth Tech Today
LightForce clear braces from Hidden Smiles Orthodontic Studio present you with a fit suited for your smile, meaning less trouble, an even, upright bite, and a more efficient treatment timeframe. LightForce is tomorrow’s solution to tooth straightening: it’s more effective, more convenient, and keeps the patient the #1 focus of the treatment.
LightForce Is Strong
ACHIEVING YOUR IDEAL SMILE WITH LIGHTFORCE BRACES
Dr. Parikh begins by conducting a comprehensive assessment of your dental needs and goals. She will then take digital impressions of your mouth using our iTero digital scanner. Utilizing state-of-the-art technology, she will design a personalized treatment plan tailored to the unique characteristics of each individual’s teeth and bite. Your LightForce clear braces are then made using high-tech 3D printing technology. With precision and expertise, she then applies LightForce braces, leveraging their innovative design and advanced materials to gently guide the teeth into their ideal positions. Throughout the process, Dr. Parikh maintains close communication with you, ensuring your comfort and satisfaction at every step. By combining her skillful technique with cutting-edge orthodontic technology, Dr. Parikh delivers outstanding results, transforming smiles and enhancing confidence.
Talk to Dr. Parikh About LightForce
Following a complete orthodontic exam with Dr. Parikh, we can recommend which treatment option will best accommodate you and your smile.
Take your first step toward your renewed smile with a complimentary consultation at Hidden Smiles Orthodontic Studio. Come to our office in Melville to see how LightForce clear braces can improve your lifestyle.
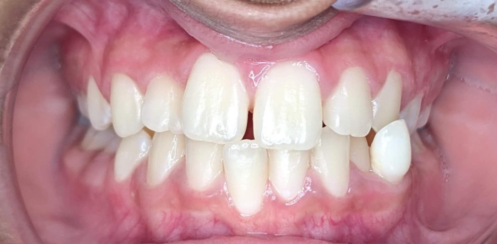
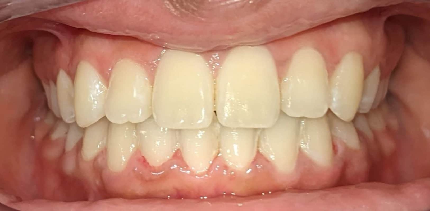
LightForce Braces TRANSFORMATIONS







