
InSmile Hidden Braces
Discover Hidden Smiles With Hidden Braces
If you’re looking to straighten your teeth without the telltale appearance of traditional metal braces and don’t love the idea of clear aligners, Dr. Parikh is proud to offer a more discreet solution. InSmile hidden braces provide a completely hidden alternative, using advanced lingual braces that are placed behind the teeth for an effective, low-profile treatment.
Hidden Braces
Discover Hidden Smiles With Hidden Braces
If you’re looking to straighten your teeth without the telltale appearance of traditional metal braces and don’t love the idea of clear aligners, Dr. Parikh is proud to offer a more discreet solution. InSmile hidden braces provide a completely hidden alternative, using advanced lingual braces that are placed behind the teeth for an effective, low-profile treatment.
Meet Dr. Parikh, Your Hidden Smiles Expert
At Hidden Smiles Orthodontic Studio in Melville, NY, Dr. Parikh brings extensive experience in lingual orthodontics and has helped patients transform their smiles with hidden braces for years. Because these braces are placed on the inside surfaces of the teeth, you can go about your daily life without friends, family or coworkers noticing your treatment.
InSmile hidden braces are fully customized to your smile, allowing Dr. Parikh to tailor every detail of your treatment for comfort, precision and efficiency. The result is a straighter smile achieved with confidence and expertise, without drawing attention to the process.

What Are InSmile Hidden Braces?
InSmile hidden braces are an advanced form of lingual braces designed to straighten your teeth discreetly and efficiently. Unlike traditional braces, lingual braces are placed on the inside surfaces of your teeth, keeping your treatment completely hidden from view.
Regardless of your teeth’s starting point, lingual braces utilize a fully customized wire that is placed precisely behind your teeth by Dr. Parikh. This wire is designed specifically for your smile, working in the background to gently and consistently guide your teeth into alignment.
Each bracket is custom-crafted to fit the unique shape of your teeth, creating a treatment experience that is both comfortable and highly effective. Because everything is tailored to your smile, hidden braces offer a level of precision that help streamline your results.
With hidden braces, there’s no need for removable trays or visible wires. Just a discreet, efficient path to a straighter smile, guided by Dr. Parikh.
Advantages Of Hidden Braces
The biggest advantage of InSmile hidden braces is that since they are attached to the back surfaces of the teeth, they are virtually invisible from the front. Whether you’re an adult, businessperson or someone who is looking for an alternative to traditional braces and clear aligners, hidden braces are a great choice. With lingual braces, you can maintain your normal eating, drinking, brushing and flossing routines while undergoing orthodontic treatment.
The following are just some of the advantages to choosing hidden braces:
The Hidden Alternative To Invisalign®
If you’re comparing InSmile to clear aligners like Invisalign®, there are a few key differences that can make hidden braces a more convenient and effective option for the right patient.
Hidden braces are fixed in place, so you don’t have to worry about removing trays every time you eat or drink or keeping track of them throughout the day. Because they remain securely in place, there are no compliance concerns, meaning your treatment continues working for you at all times.
Lingual braces are also completely hidden behind the teeth, without the need for visible attachments on the front surfaces. This allows you to maintain a natural looking smile throughout treatment, without drawing attention to the process.
For some patients, hidden braces can be more efficient than clear aligners. Thanks to their fully customized design and continuous, guided movement, they help streamline the path to a straighter smile.
The InSmile Hidden Braces Process
Dr. Parikh ensures the process for hidden braces is efficient, comfortable and designed with your experience in mind. Below is an overview of how your custom treatment is created and placed:
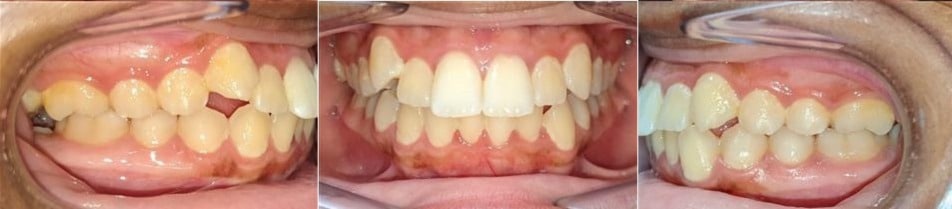
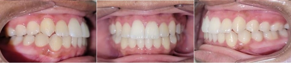
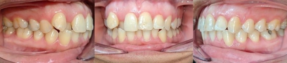
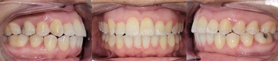
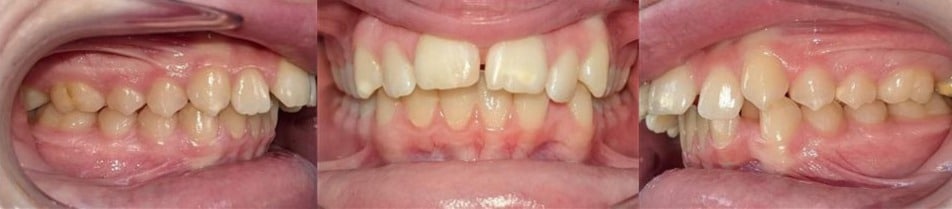
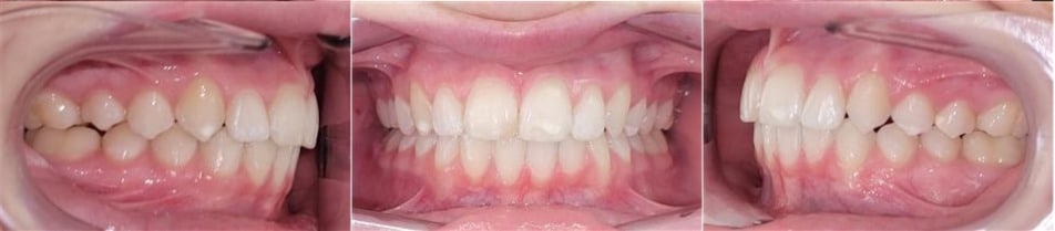
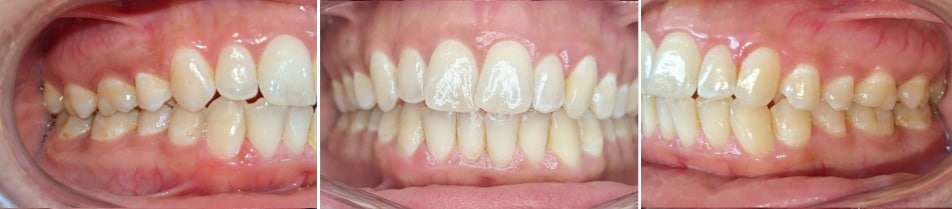
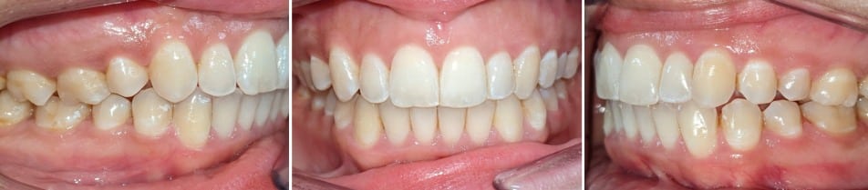
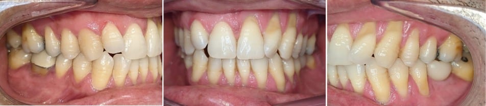
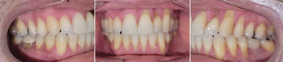
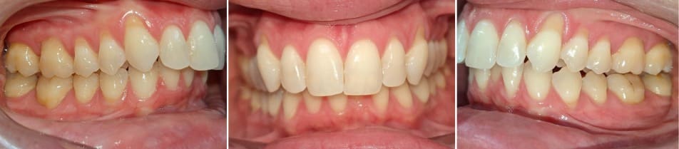
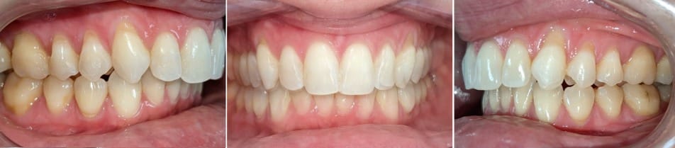
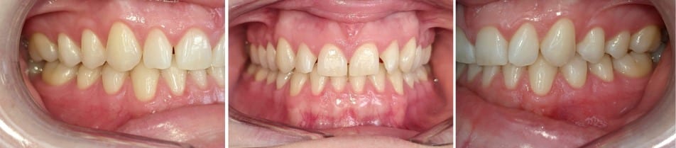
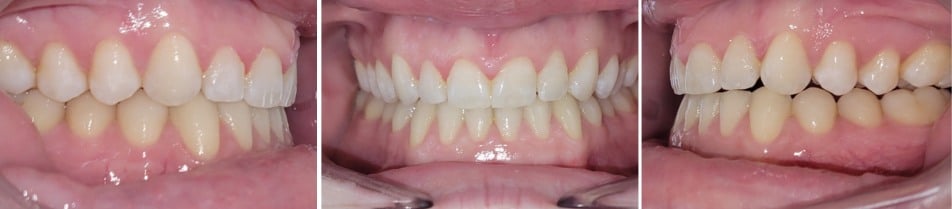
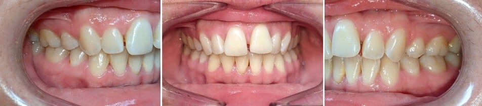
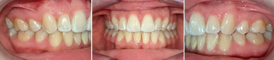
Hidden Braces Patients
















Frequently Asked Questions
We want you to feel confident and comfortable when considering lingual braces to straighten your smile. Below, Dr. Parikh and our team have answered questions we receive the most about hidden braces.
Reveal Your Hidden Smile With InSmile—Schedule Your Complimentary Consultation Today
Take the first step toward a straighter, more confident smile with a treatment designed to stay completely hidden. Discover if InSmile hidden braces are right for you by scheduling a complimentary consultation at our Melville, NY office with Dr. Parikh. We look forward to partnering with you to discreetly transform your smile.






