
Orthodontics For All Ages
Serving Children, Teens & Adults in Melville, NY
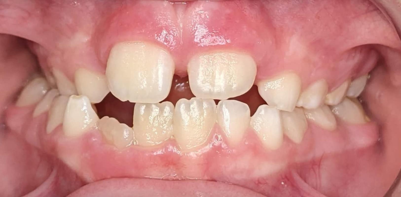
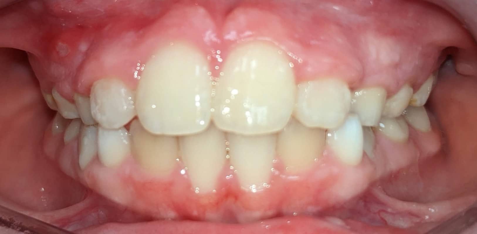
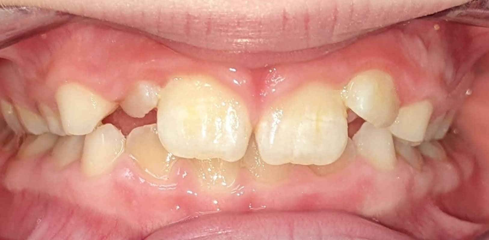
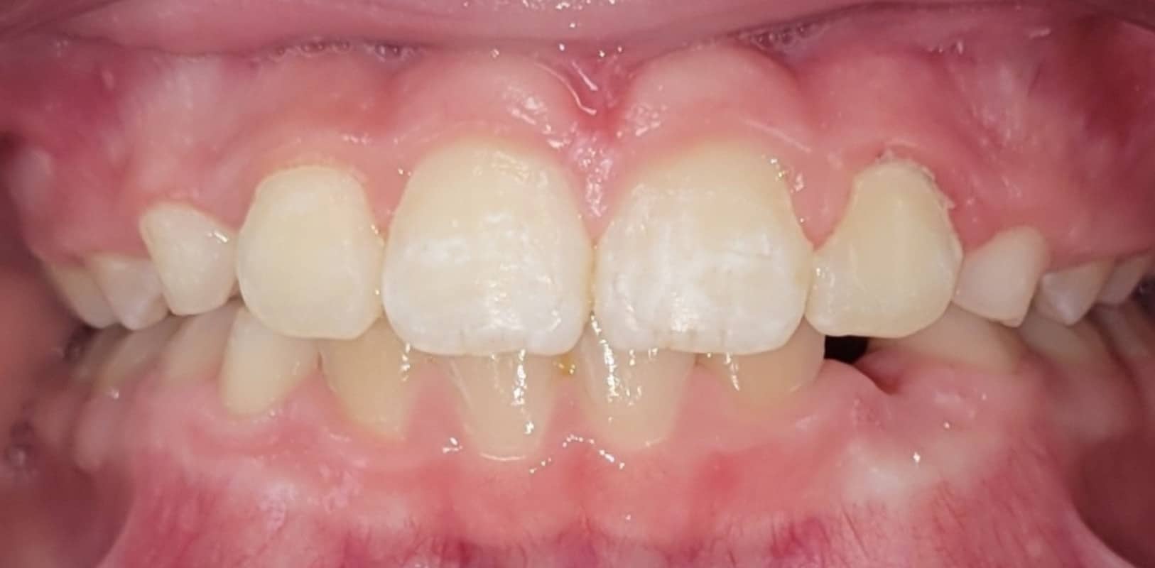
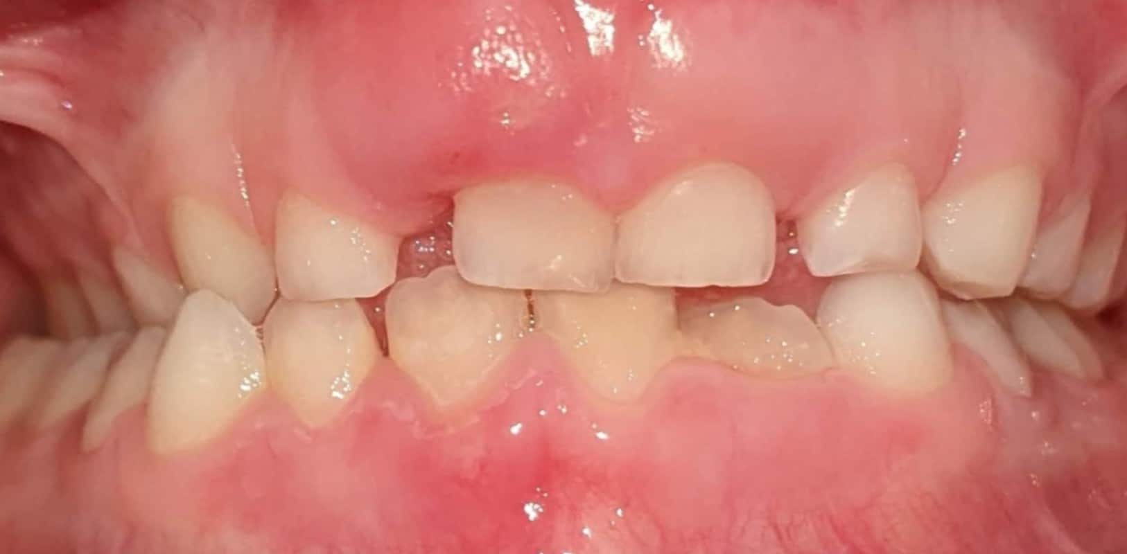
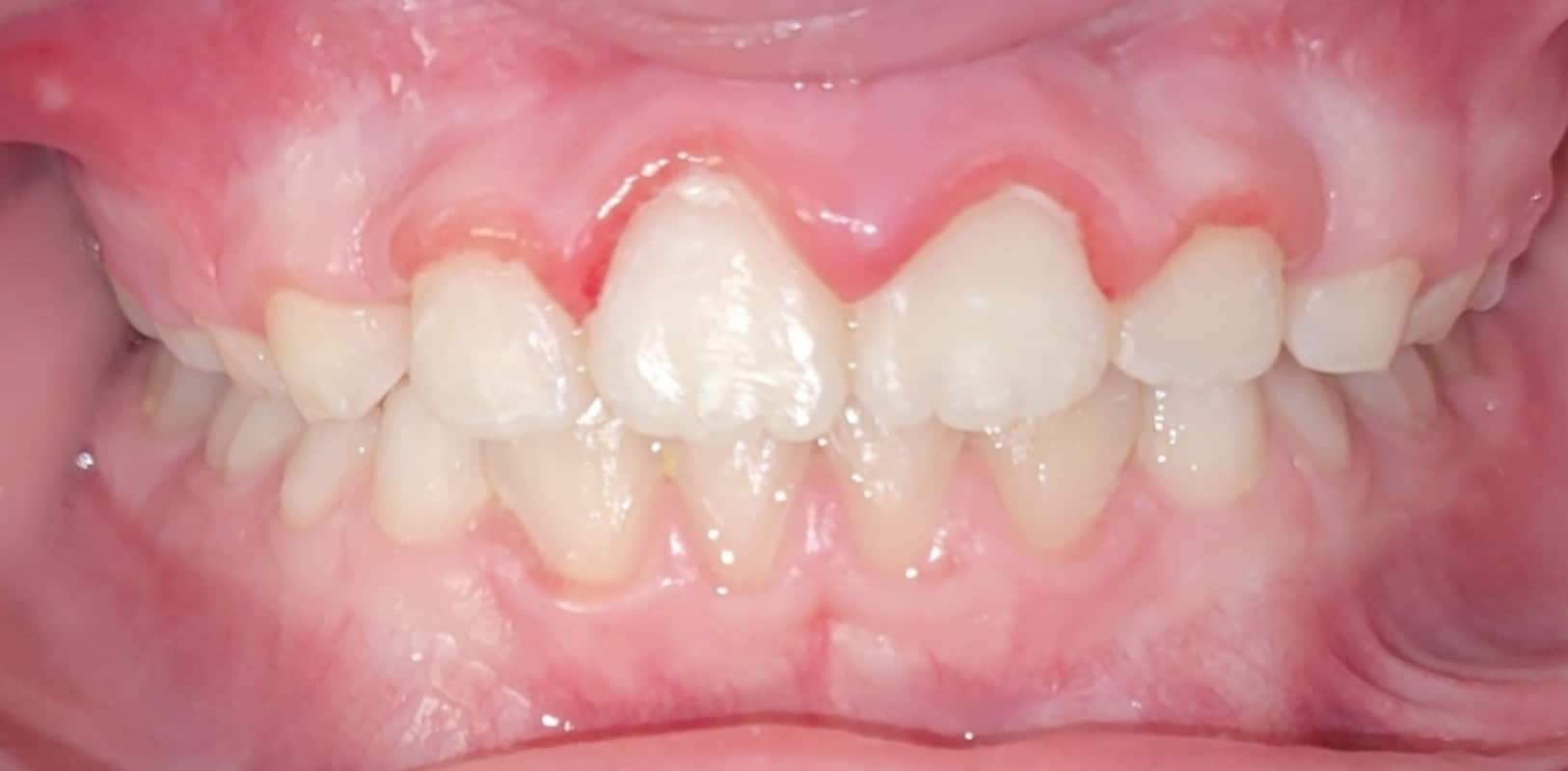
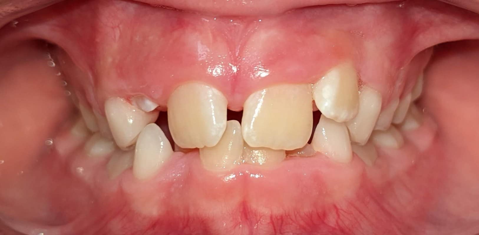
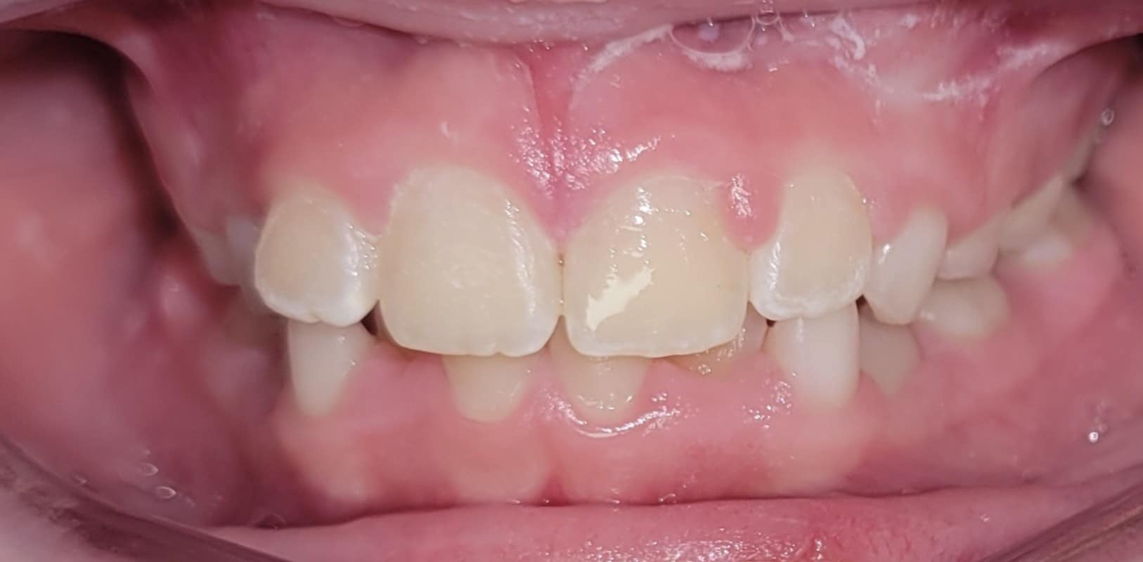
At Hidden Smiles Orthodontic Studio, we offer a full range of orthodontic treatments for children, teens, and adults around the Melville community. It’s Dr. Mita Parikh’s goal to see every person light up the room with a healthy and confident smile.
Orthodontics for All Ages – Choose Your Treatment
We are proud to help children, teens and adults achieve a straight and healthy smile that will last for a lifetime. You can find the latest and greatest orthodontic services and appliances at Hidden Smiles Orthodontic Studio, including:
Orthodontics for Adults
Dr. Mita Parikh understands that lots of adults around Melville feel self-conscious about getting braces, but the truth is, it’s never too late to straighten your teeth and flash the confident smile you’ve always wanted.
Orthodontic treatment can improve not just the look of your teeth and smile, but also the health of your bite and jaw. At Hidden Smiles Orthodontic Studio, you can find traditional and aesthetic treatment options, like traditional metal braces, clear ceramic braces, and even invisible aligners. Dr. Parikh and our team of experts will work with you to create a personalized treatment plan that fits your needs and lifestyle. And don’t worry about feeling like a teenager again—our advanced technology and techniques make the process more comfortable than ever before.
Don’t let fear or embarrassment hold you back from getting the beautiful smile you deserve. About 25% of our patients are adults, so come visit us at Hidden Smiles Orthodontic Studio for a consultation and see how we can help you achieve the perfect smile.
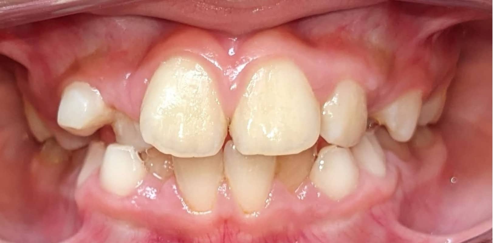
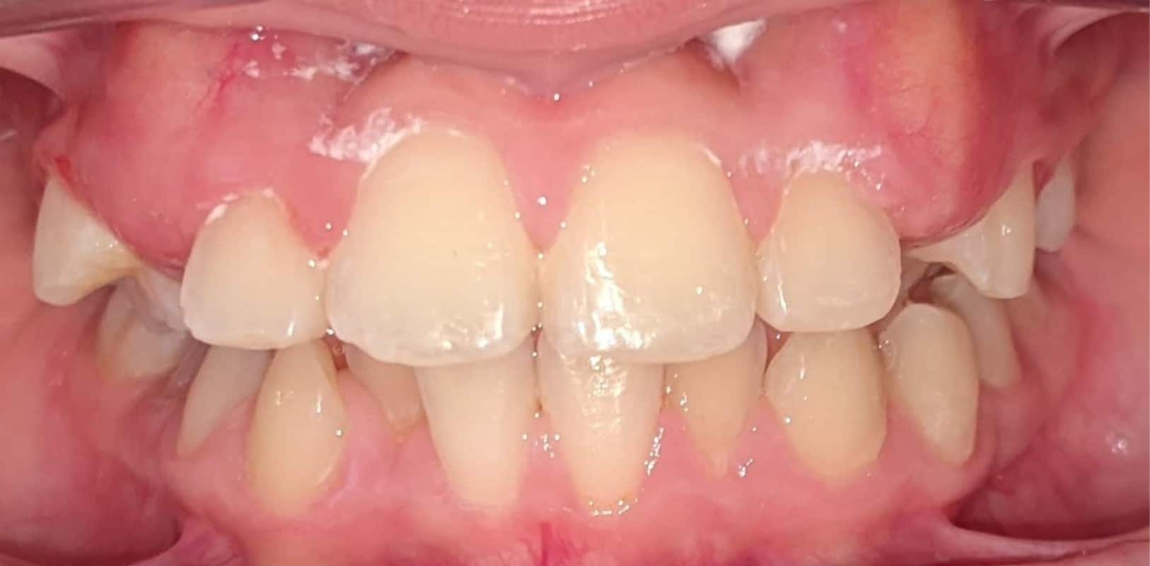
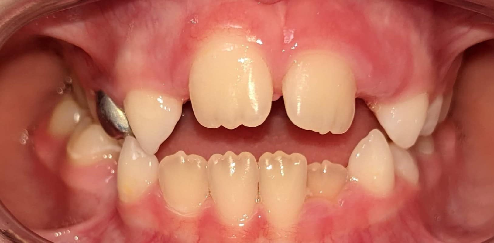
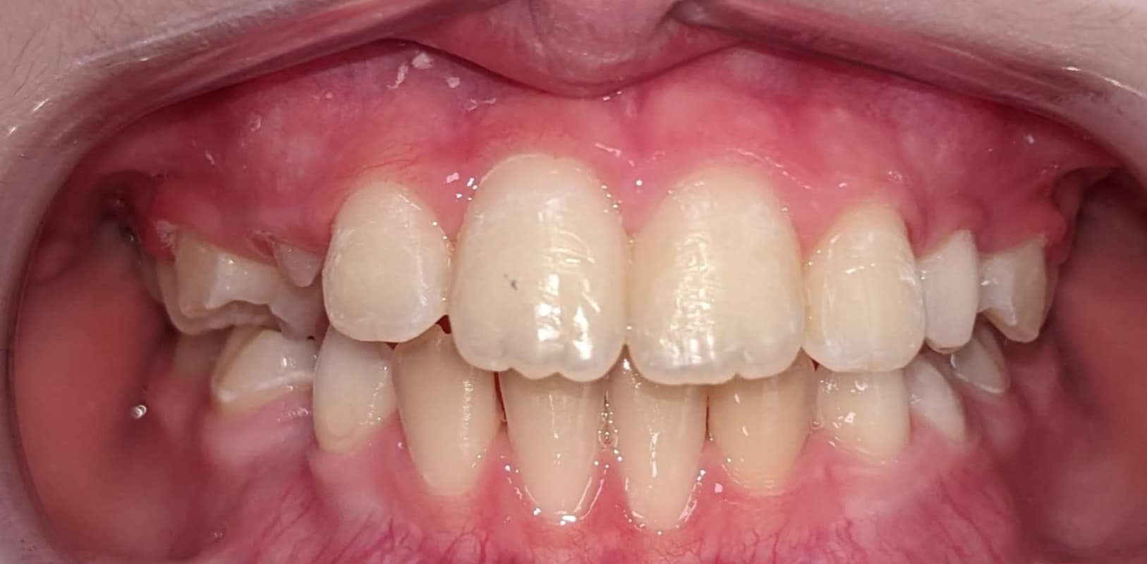
Why Should You Get Orthodontic Treatment?
At Hidden Smiles Orthodontic Studio, we understand that everyone around Melville comes to us with different dental needs, whether they be children, teens, or adults, and we provide tailored attention for each individual.
Orthodontics for Adults
Dr. Mita Parikh understands that lots of adults around Melville feel self-conscious about getting braces. But the truth is, it’s never too late to straighten your teeth and flash the confident smile you’ve always wanted.
Orthodontic treatment can improve not just the look of your teeth and smile, but also the health of your bite and jaw. At Hidden Smiles Orthodontic Studio, you can find traditional and aesthetic treatment options, like traditional metal braces, clear ceramic braces, and even invisible aligners. Dr. Parikh and our team of experts will work with you to create a personalized treatment plan that fits your needs and lifestyle. And don’t worry about feeling like a teenager again—our advanced technology and techniques make the process more comfortable than ever before.
Don’t let fear or embarrassment hold you back from getting the beautiful smile you deserve. About 25% of our patients are adults, so come visit us at Hidden Smiles Orthodontic Studio for a complimentary consultation and see how we can help you achieve the perfect smile.
Why Should You Get Orthodontic Treatment?
At Hidden Smiles Orthodontic Studio, we understand that everyone around Melville comes to us with different dental needs, whether they be children, teens, or adults, and we provide tailored attention for each individual.

















